Overview
Causing recurring episodes of mania and depression, bipolar disorder (BD) can have far-reaching detrimental effects on the everyday function of those living with the diagnosis. The cognitive deficits in executive function and memory in BD are well-documented, but efforts to understand the potential impact of cognitive training have recently begun. Using the SMART™ protocol, this non-randomized pilot study examined effects of a top-down, cognitive reasoning training program in adults with BD using both brain and cognitive measures. Twenty-seven participants from the ages of 21–70 completed neurocognitive testing and functional magnetic resonance imaging (fMRI) pre- and post-training. The 4-week training delivered actionable strategies for processing information, making training concepts adaptable to an individual's daily life. Results show significant gains in complex abstraction (or gist reasoning), the study's primary outcome measure, as well as gains in untrained domains of executive function and memory. Evidence also suggests significant increase in resting cerebral blood flow (CBF) following training and correlation between functional changes and measured gains in complex abstraction. These findings will motivate further exploration of adjuvant therapeutics to enhance cognitive function in psychiatric disorders.
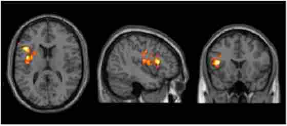
Results of cerebral blood flow (CBF) voxel based comparison superimposed on T1 image. Bipolar disorder (BD) participants showed a CBF increase in left inferior frontal gyrus from T1 to T2 after cognitive training, p < 0.05 (FWE cluster corrected) and k ≥ 11,592 mm3.






